私のインプラントに対する考え方
これまで、当院カンガルー歯科においては、歯の治療に来院されたすべての患者さん
について歯周病の治療をしっかりと行うことを基本にしてきました。
たとえば、症例−1の患者さんです。重度の歯周病で口臭に悩んでおられました。
保存可能な歯の歯周治療を行いました。前歯はブリッジで治療をすることができましたが、
奥歯は歯周病が進行しており、どうしても残すことができなかったため、部分入れ歯を
装着しました。見た目もよくなり、よく噛むこともできるようになって、大変喜んで
いただきました。

そこでインプラントを2本植立し、セラミックスのブリッジとしました。



術後
(症例−3) 術前

術中

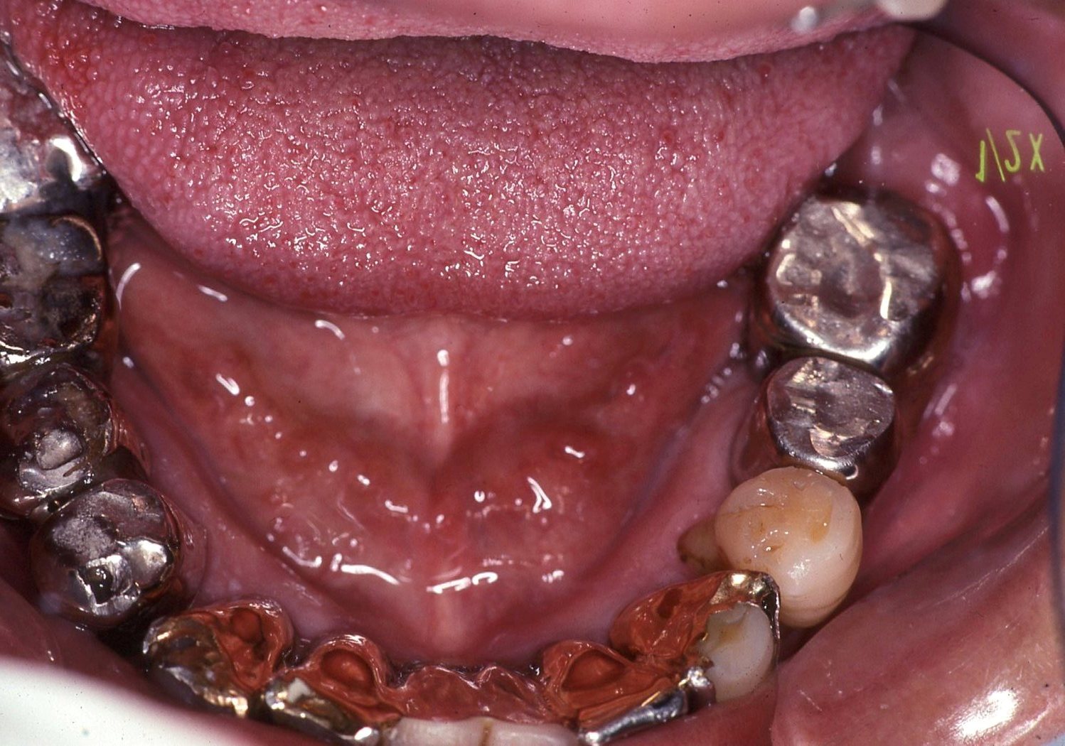
重度の歯周病 症例−2と同様に、奥歯がないのでブリッジができない。
(症例−2) 術前
従来は、これが基本的な治療の流れでした。すなわち、
歯周病治療をする→保存できた歯にはブリッジを入れる→
保存できなかった歯には,部分入れ歯を入れる。
これでよいのか?
多数の患者さんの治療を行っていくうちそう思うようになった理由は、
部分入れ歯の術後管理がとてもむずかしいからです。
・
違和感がある
・
しゃべりにくい
・
針金が見えていやだ
・
食べカスがはさまる
・
カチカチ音がする
・
あたりがでて痛い
・
食後取り外して洗う必要があるので、めんどうだ etc.
それらを解決する方法として、インプラントを行うようになりました。
まず症例−2は、歯周病の治療を行ったのち、部分入れ歯を使わずに
インプラントを使用しました。


術後

(症例−1) 術前
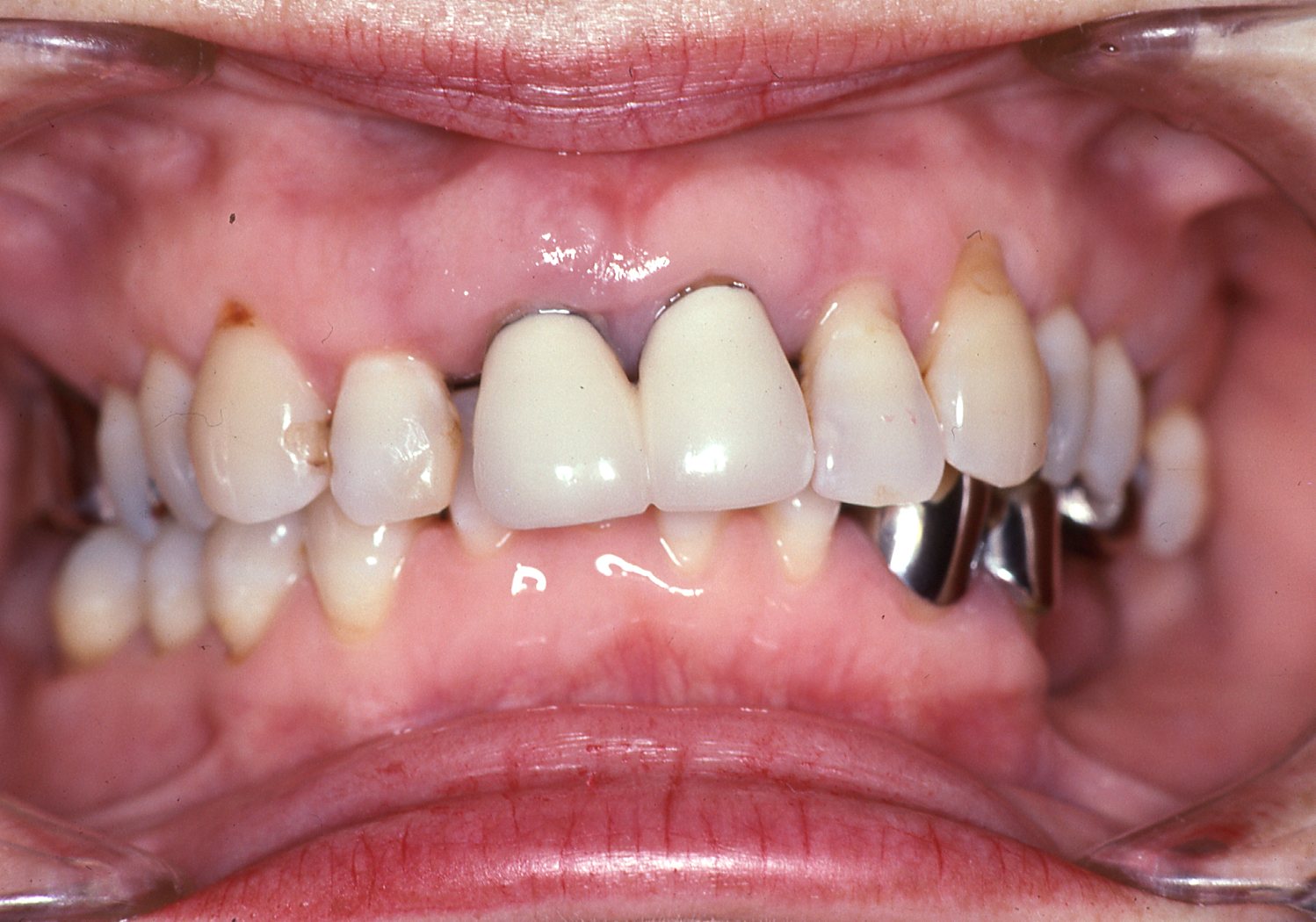
前歯はきれいなブリッジをいれることができた。奥歯も部分入れ歯をせずにインプラントによる
ブリッジをした。異物感もなく、とてもよく噛める。
症例−3も同様です。こちらは銀歯が見えないようにインプラントにも
セラミックスを使用しました。
術後








そこで、インプラントを2本植立した。

重度の歯周病 下は奥に歯がないので、ブリッジができない。





