カンガルー歯科における治療例



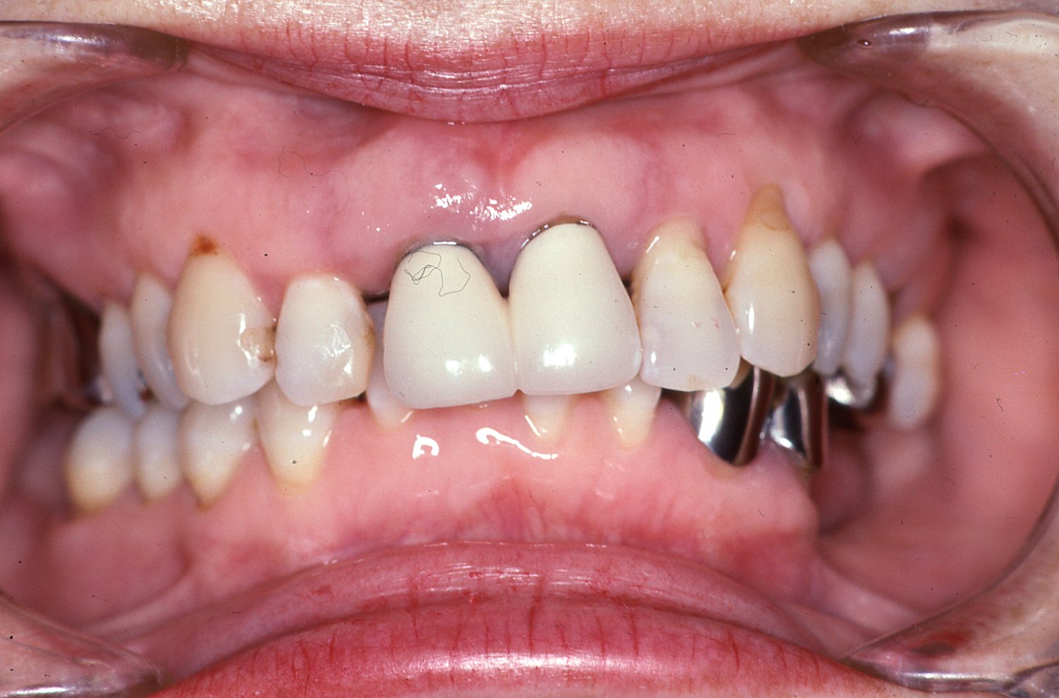
Yさん    初診時55歳 女性
主な訴え  歯肉の色が悪く歯周病と思う。下の奥歯がないのでよく噛めない。


       初診時             治療終了時           治療後15年後
  




   

上の前歯
歯肉に歯周病があります。
 歯周病の治療を行い、セラミック
 の歯をかぶせ直しました。




  

下の奥歯
過去に抜歯されていて、よく噛めない状態です。
インプラントをしました。

歯のなかったところにブリッジを入れました。よく噛めるようになり喜んでくれた。