カンガルー歯科における治療例
|
症例1
|
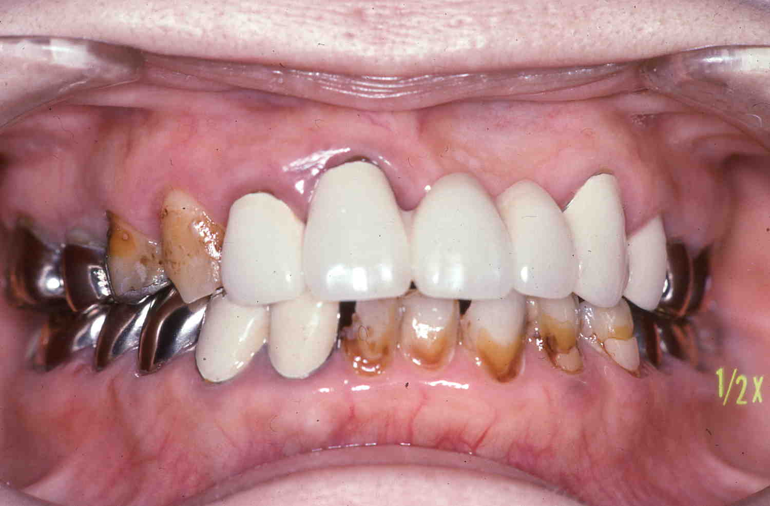
| Hさん 初診時60歳 女性 |
主な訴え 歯周病といわれて口臭が気になる。むし歯も多数あると思うので、きちんと全部治
したい。
|
| 初診時 治療終了時 治療後15年後 |

|

|
上の前歯
歯肉に歯周病があります。
|
歯周病の治療を行い、セラミックの歯をかぶせ直しました。
|
治療後15年たっても、歯肉の老化は見られますが、まだきれいです。 |

|
下の前歯
大きなむし歯もあります。
|
治療後
歯周病の治療を行い、セラミックの歯をかぶせ直しました。 |
治療後15年たっても、歯肉の老化は見られますが、まだきれいです。 |
|